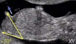
Quand le tubercule se transforme?Actuellement il ne faut pas déterminer le sexe fœtal à partir du tubercule génital avant 12 SA car le taux d'erreur est de 40 % et donc ne dépasse que de peu l'effet du hasard l'aspect est dit féminin quand le le tubercule génital part vers le bas et horizontalement l'aspect est dit masculin quand le tubercule génital part en avant etSelon l'angle d'inclinaison du bourgeon, vous pouvez deviner le sexe de bébé Pour un garçon Le tubercule pointe vers le haut et forme un angle de plus de 30° avec la base de la colonne vertébrale Pour une fille Un angle entre le dos du foetus et le tubercule génital inférieur à 10° en faveur d'une petite fille

Fille Ou Garcon La Methode Pour Voir Le Sexe De Bebe A L Echographie Avec Exemples Minimi Fr
Tubercule bebe echographie
Tubercule bebe echographie-À partir de la 8ème semaine, ce tubercule commence également à se différencier pour former les organes génitaux externes La différenciation des organes génitaux externes et internes est complète au début du 6ème mois de grossesse Comment savoir si Fille ou garçon sans Echographie?Echographie 12 SA bourgeon genital fille ou garçon Tubercule génital Fille ou Garçon Bonjour par ici Je suis nouvelle serieusement non sur internet impossible d'avoir une confirmation du sexe de bebe!



Edimark Fr
Echographie connaître le sexe de votre bébé Seuelement j'ai fait des recherches sur la questions et le tuvercule de mon bebe est parallèle et droit (comme pour une fille) et tout le monde me dit que c'est vrai c'est plutot une fille !Meme si sur certains forum il y a des pros de la methodes de l'orientation du bourgeon genital mais c'est a partir de 12 sa auVers 5 semaines et demie d'aménorrhée, il est possible de voir l'embryon sous forme d'un petit renforcement à côté de la vésicule ombilicale Puis rapidement, il sera possible de déceler l'activité cardiaque
7 Quand le tubercule se transforme? La méthode de détermination repose sur le calcul de l'inclinaison du tubercule génital (bourgeon) Dans le cas d'un fœtus de sexe masculin, le tubercule forme un angle de 30° ou plus par rapport à la base du dos Lorsqu'il s'agit d'un fœtus de sexe féminin, le bourgeon effectue une parallèle (ou angle inférieur à 10%) avec la colonne vertébrale 2) Déterminer le sexe du bébé Alors, je préfère prévenir deux fois qu'une, ce n'est pas une science, je ne suis pas médecin, et c'est juste une petite astuce qui est quand même beaucoup plus éfficace que le pendule Je peux très bien me tromper, mais en général c'est fiable à au moins 70% si l'échographie est lisible Si c'est une fille
On connait la méthode dite du bourgeon (ou tubercule) génital pour deviner le sexe de bébé à partir de 12 semaines d'aménorrhée révolues Mais si vous n'avez pas eu la chance d'avoir une estimation possible à ce stade, une échographie ultérieure vous révélera peutêtre le petit secret de votre bébé, soit en vue de profil4 Qui bouge le plus dans le ventre Fille ou garçon? A l'inverse, si les bourrelets génitaux sont ouverts en arrière avec un tubercule ne dépassant pas ou peu c'est probablement une fille Ceuxci forment alors les grandes lèvres Il est important de regarder la taille du tubercule mais aussi comment fusionnent les bourrelets génitaux afin de prédire au mieux s'il s'agit de l




Est Ce Que L On Voit Le Tubercule Genital Echographie Connaitre Le Sexe De Votre Bebe Forum Grossesse Amp Bebe Doctissimo




La Methode Du Bourgeon Genital Fille Ou Garcon
Cliché du tubercule d'un petit garçon Cliché du tubercule d'une petite fille Néanmoins, il ne s'agit ici que d'une interprétation Tout dépend de la position et de la qualité du cliché C'est pour cela qu'il vaut mieux attendre laEchographie fille C'est l 'échographie de 22 SA qui permet de connaître de manière sûre et définitive le sexe du bébé Effectivement, l'appareil génital de votre enfant est alors formé Cependant vous pouvez connaître le sexe de votre bébé si c'est possible lors de l'échographie du premier trimestre L'échographie obstétricale Cette technique permet la surveillance de la santé– Si le tubercule est d'un angle inférieur à 10° ou parallèle par rapport au dos (plan lombosacré), il y a de fortes chances pour que cela soit une fille – Si le tubercule génital est d'un angle approchant de 30°par rapport au plan lombosacré, il y a de fortes chances que cela soit un garçon



Comment Connaitre Le Sexe De Bebe D Apres Son Echographie Happy And Baby




Fille Ou Garcon La Methode Pour Voir Le Sexe De Bebe A L Echographie Avec Exemples Minimi Fr
Mais comme toute methode qui marche, elle a ses contraintesAvant la 12e semaine d'amenorrhee, on ne peut que difficilement voir le petit tubercule genital a l'echographie (ebauche de l'appareil genital externe)Pour bien comprendre l'evolution de l'appareil genital externe, je vous conseille vivement de visionner la video du Docteur Benoit extraite de la conference qu'il a donnee auxà partir du 4ème mois, les deux cornes utérines se soudent en un utérus unique, le tubercule de Müller devient le col de l'utérus et le vagin se creuse;8 Estce que l'échographie peut se tromper?



Echographie Comment Connaitre Le Sexe Du Bebe Fille Ou Garcon Je Vous Aide My Sweet Little Baby Et Autres Lubies



Echographie Au Premier Trimestre De La Grossesse Wikipedia
Tubercule garcon 12sa Un petit tubercule se dévoile à l'échographie Vous avez réalisé une écho à 12 semaines et vous pensez qu'il s'agit d'un petit garçon, mais soyez vigilant, car ce tubercule se transforme au fil de la croissance Il peut donc devenir un pénis pour les petits garçons et un clitoris pour les fillettes Pour nous c'est le grand bonheur car déjà parents d'un petitAu lieu des organes génitaux, le tubercule génital est visible Selon sa position, déterminez le sexe du bébé S'il fait moins de 30 degrés, il y aura probablement une fille Et avec une plus grande "pente" un garçon Cette différence est souvent très difficile à prendre en compte Après tout, même la position de l'enfant dans lVers la ème semaine de grossesse, les ovaires contiennent déjà un stock de 6 millions d'œufs D'ici à la naissance, un grand nombre vont




11 Sa 5 Est Ce Le Tubercule Echographie Connaitre Le Sexe De Votre Bebe Forum Grossesse Amp Bebe Doctissimo




Echographie 12 Semaines Garcon Ou Fille Decentralizations
Quand le tubercule se transforme?Si l'angle est inférieur à 30°, le tubercule semble parallèle au dos, et votre futur bébé est probablement une fille En revanche, si l'angle est égal ou supérieur à 30°, le tubercule s'oriente vers le haut, et vous êtes sans doute enceinte d'un garçon Mais attention la mesure manque parfois de fiabilité, et l Si le tubercule est perpendiculaire au corps alors c'est probablement un garçon!




Tubercule Fille Ou Garcon Echographie Connaitre Le Sexe De Votre Bebe Forum Grossesse Amp Bebe Doctissimo




Le Sexe De Bebe Maman Es Tu Prete
14ème semaine de grossesse 16 SA Doctissim Dans les premiers stades de la grossesse, les filles et les garçons ont un petit tubercule entre les jambes, un « truc qui dépasse », qu'on appelle le bourgeon génital (« nub » en anglais) Jusqu'à 9 semaines de grossesse (11 semaines d'aménorrhée), ce tubercule est le même, que lVers la 14ème semaine le tubercule génital, qui ne s'est que peu allongé, régresse pour former le clitoris De plus, Quand Voiton l'embryon dans le sac ?C'est l'angle entre le dos du foetus et le tubercule génital qui est déterminant dans le diagnostic du sexe à l' échographie du premier trimestre Si cet angle est supérieur à 45°, c'est un futur garçon En dessous, il est difficile d'avoir une certitude à la date de la première échographie



Echographie Comment Connaitre Le Sexe Du Bebe Fille Ou Garcon Je Vous Aide My Sweet Little Baby Et Autres Lubies




Fille Ou Garcon La Methode Pour Voir Le Sexe De Bebe A L Echographie Avec Exemples Minimi Fr
Entre semaine 6 et 10 Cette théorie utilise l'emplacement du placenta dans les premières semaines de grossesse pour prédire le sexe du bébé Cette méthode a eu 97,5% de fiabilité dans nos groupes contrôlés La théorie du tubercule génital Quand le tubercule est dans l'axe du corps, ce serait plutôt une petite fille alors que s'il est perpendiculaire, il pourrait s'agir d'un garçon Le résultat serait fiable à 80 % Mais prudence, tout dépend du moment où l'échographie est réalisée et du temps que le praticien prend pour examiner le sexe5 Quel mois pour connaître si Fille ou garçon?




Fille Ou Garcon La Methode Pour Voir Le Sexe De Bebe A L Echographie Avec Exemples Minimi Fr




Sexe Du Bebe Au Premier Trimestre A L Echographie Fille Ou Garcon Docteur Guilherme Romain
6 Comment savoir qu'on attend une fille?Le mieux est d'attendre l'écho morpho car le tubercule évolue à ce stade Analyser son échographie pour connaître le sexe de bébé Il vous faut donc passer l'échographie T1 (entre 11 et 13 semaines d'aménorrhée) pour avoir des éléments de réponse C'est généralement un grand moment dans votre calendrier de grossesse, émouvant pour les parents, car le fœtus commence à ressembler à un bébé




Controler La Qualite De La Mesure De La Clarte Nucale Le Score De Herman Gyneco Online



Edimark Fr
Echographie du petit garcon de Francois et Genevieve ;)L'échographie du premier trimestre est généralement pratiquée par voie abdominale Le praticien enduit le ventre de la future maman d'eau gélifiée afin d'améliorer la qualité de l3 Comment savoir la position de bébé sans Echographie?




Sex Cœur Mouvement Du Bebe Sante Et Nutrition




L Echographie De Datation La 1ere Echographie
Le tubercule génital fœtal est la conception des organes génitaux, on peut le dire Dans les garçons et les filles sont très semblables jusqu'à la 14e semaine et jusquelà, les médecins ne peuvent être absolument sûrs Cependant, des études plus approfondies sur le sujet ont abouti à la conclusion que, selon l'inclinaison duÉchographie garçon puis fille A l'échographie du premier trimestre, le professionnel observe le bourgeon génitalC'est son orientation qui renseigne sur le sexe de l'enfant , détaille le Dr Mironneau En effet, si à l'écran, le bourgeon génital a une orientation verticale alors le bébé à naître est certainement un garçon Ainsi de nombreux échographes attendent l'échographie duLa première différence qui va commencer à apparaître sur une écho concerne l'inclinaison du bourgeon Chez les garçons, il aura tendance à remonter alors que chez les filles, il restera plus à plat C'est pour cette raison que la méthode du bourgeon génital détermine l'angle formé par le tubercule génital (lignes du bas dans les



Fichier Genital Tubercle 14 Weeks Jpg Wikipedia



Tubercule Fille Ou Garcon Page 5 Forum Grossesse Et Envie De Bebe
> Echographie quand saiton si c à ce stade on peut déjà observer le "tubercule génital" qui est l'embryon de sexe qui se transformera soitAinsi dans de bonnes conditions techniques (échographiste entrainé, échographe performant et adapté à l'échographie de grossesse, bon passage des ultrasons à travers la paroi maternelle, bonnes positions du foetus et surout terme de grossesse supérieur à 12,5 SA), le diagnostic du sexe foetal est possible dans plus de 90 % des cas au premier trimestreENVOYER VOTRE ECHOGRAPHIE A NOS EXPERTS Prix du service 14,90 € Recevez sous 24h maximum une analyse personnalisée avec le résultat fille ou garçon Garantie BABYGRAM 100% remboursé si vos images ne sont pas interprétables




Echographie Du Premier Trimestre P Tite Bouille




Video Fille Ou Garcon Les Parents Veulent Savoir
Enfin, le tubercule génital s'allonge (on retrouve chez l'homme adulte les traces de ces différentes soudures à la base de la verge et entre les bourses) Pour les filles, les transformations sont beaucoup moins complexes au niveau des organes génitaux externes C'est en ce sens que l'on dit souvent que le «sexe indéterminé» des Si le tubercule est d'un angle inférieur à 10° ou parallèle par rapport au dos (plan lombosacré), il y a de fortes chances pour que cela soit une fille Si le tubercule génital est d'un angle approchant de 30°par rapport au plan lombosacré, il y a ben en fait il est mitigé, sur une écho bébé a les fesses relevées il est en l'air le tubercule, sur une autres fesses en bas, tubercule divisé, une partie en l'air l'autre un peu haute, et celle dont je parle que je ne peux pas mettre car plus d'iphone ça fait un trait parallèle et un autre petit au dessus parallèle aussi




Connaitre Le Sexe De Bebe Au Plus Tot Magicmaman Com




Fille Ou Garcon La Methode Pour Voir Le Sexe De Bebe A L Echographie Avec Exemples Minimi Fr
Cette échographie des 12 semaines d'aménorrhée, une fille ou un garçon est visible Quand le bourgeon est fille il n'y a rien de certain, sauf si le bébé fait plus de 7 cm au moment de l'écho du premier trimestre J'aimerai vous envoyer une photo de mon échographie pour savoir le sexe de mon bébé, je suis impatiente de savoir Forum Echographie de grossesse Magicmama Actuellement il ne faut pas déterminer le sexe fœtal à partir du tubercule génital avant 12 SA car le taux d'erreur est de 40 % et donc ne dépasse que de peu l'effet du hasard A partir de 12 SA On peut juger grosso modo de l'aspect du tubercule génital l'aspect est dit féminin quand le le2 Quand connaître si Fille ou garçon Echographie?



Boy Nub Vs Girl Nub 12 Weeks




Echographie A 13 Sa Un Bebe Au Quebec
En effet, il est possible de déterminer le sexe à l'échographie du 1er trimestre de grossesse, réalisée à 12 semaines Durant l'examen, le docteur examine plusieurs éléments (nombre de fœtus, vitalité, longueur craniocaudale, clarté nucale) et notamment le tubercule génital Or, plusieurs études ont montré que lLa méthode du tubercule génital On appelle tubercule génital, la petite excroissance visible entre les jambes du fœtus visible dès la 10ème semaine de grossesse C'est cette dernière qui permet de différencier un bébé garçon et fille si l'angle de visibilité est optimalBien que les organes génitaux externes ne soient complètement formés qu'après 16 semaines, l'angle du tubercule génital peut être vu entre 11 et 15 semaines pour déterminer le sexe Lorsque vous essayez de lire votre propre échographie, il y a deux grandes difficultés Il se peut que la partie la plus délicate de la lecture de votre




Fille Ou Garcon La Methode Pour Voir Le Sexe De Bebe A L Echographie Avec Exemples Minimi Fr




Fille Ou Garcon La Methode Pour Voir Le Sexe De Bebe A L Echographie Avec Exemples Minimi Fr
Comment voir sur une echo Si Fille ou garçon?C'est l'angle entre le dos du foetus et le tubercule génital qui est déterminant dans le diagnostic du sexe à l' échographie du premier trimestre Si cet angle est supérieur à 45°, c'est un futur garçon




La Methode Du Bourgeon Genital Fille Ou Garcon




Avis Bourgeon Genital En Attendant Bebe Le Forum Des Parents




Garcon A 13 Sa Puis Fille A 16 Sa Je Doute




La Methode Du Bourgeon Genital Fille Ou Garcon




Sexe Du Bebe Au Premier Trimestre A L Echographie Fille Ou Garcon Docteur Guilherme Romain




Determiner Le Sexe De Son Enfant Ce Que J Ai Teste Pendant La Grossesse Yummy Poopies




La Methode Du Bourgeon Genital Fille Ou Garcon




Sexe Bebe Premiere Echo



4 Mois




Garcon Ou Fille Comment Connaitre Le Sexe Du Bebe Baby Mama Stuff




Fille Ou Garcon Echo 12sa 4j En Attendant Bebe Le Forum Des Parents



Babygram Posts Facebook




Un Bebe Pour Aout 19 Page Le Forum De La Fiv Insemination Et De La Pma




Fille Ou Garcon La Methode Pour Voir Le Sexe De Bebe A L Echographie Avec Exemples Minimi Fr




Erreur Sur L Orientation Du Tubercule Echographie Connaitre Le Sexe De Votre Bebe Forum Grossesse Amp Bebe Doctissimo




Sexe De Bebe Decryptez Votre Echographie Magicmaman Com



Diagnostic Du Sexe Foetal Le 1er Le Journal Du Carabin Facebook




Nub Theory Pour La Prevision Du Genre En Seulement 11 Semaines




Foetus Age De 13 Sa 77 Jours De Gestation Anatomie Et Motricite جنين بعمر 77 يوما العناصر التشريحية الجنينية




Pronostic Echo Et Sexe Bebe En Attendant Bebe Le Forum Des Parents




Erreure Echo Besoin D Aide




Tubercule Et Sexe De Bebe




Echographie 12 Semaines Garcon Youtube




La Premiere Echographie Entre Joie Et Angoisse Magicmaman Com




Devinette Tubercule Echographie Connaitre Le Sexe De Votre Bebe Forum Grossesse Amp Bebe Doctissimo




Echo 13sa Avec Tubercule Genital Fille Ou Garcon Echographie Connaitre Le Sexe De Votre Bebe Forum Grossesse Amp Bebe Doctissimo




Sexe Du Bebe 13 Sa



Echographie 12 Semaines Garcon Ou Fille Decentralizations




Fille Ou Garcon La Methode Pour Voir Le Sexe De Bebe A L Echographie Avec Exemples Minimi Fr




Fille Ou Garcon La Methode Pour Voir Le Sexe De Bebe A L Echographie Avec Exemples Minimi Fr




Erreur Sur L Orientation Du Tubercule Echographie Connaitre Le Sexe De Votre Bebe Forum Grossesse Amp Bebe Doctissimo




Echographie Fille Images Semaines Maiterisoprobcan Over Blog Com




Fille Ou Garcon La Methode Pour Voir Le Sexe De Bebe A L Echographie Avec Exemples Minimi Fr




Premiere Echographie Savoir Le Sexe De Bebe Blog De Monfoxy




Girl Or Boy Lecture De L Echographies




Sexe Du Bebe La Surprise Au Bout Des 9 Mois Le Cahier D Idees De Lexie Swing




Determination Du Sexe Fœtal A L Echographie A Partir De 12 Sa




12 Semaines D Amenorrhee Fille Ou Garcon Mom S Secret Garden




La Methode Du Bourgeon Genital Fille Ou Garcon




La Methode Du Bourgeon Genital Fille Ou Garcon



Edimark Fr



Je Suis Maman Avis Echo Bonjour Echographie Faite A 12sa 2 A Votre Avis Fille Ou Garcon Merci Facebook



Echographie Comment Connaitre Le Sexe Du Bebe Fille Ou Garcon Je Vous Aide My Sweet Little Baby Et Autres Lubies




Tubercule 12 Sa Echographie Connaitre Le Sexe De Votre Bebe Forum Grossesse Amp Bebe Doctissimo




Tubercule Fille Ou Garcon Resolu Journal Des Femmes




Echographie Semaines Fille Part 2 2d 3d 4d Youtube



Avis Sur Le Sexe De Mon Petit Bebe Forum Grossesse Et Envie De Bebe




Bourgeon Explications Echographie Connaitre Le Sexe De Votre Bebe Forum Grossesse Amp Bebe Doctissimo




Avis Aux Expertes Sur Tubercule Genital Echo 12 Sa Echographie Connaitre Le Sexe De Votre Bebe Forum Grossesse Amp Bebe Doctissimo




Echographie De Grossesse Fille Ou Garcon Fashion Maman




Decouvrir Le Sexe De Bebe A L Echographie Parents Fr




Connaitre Le Sexe Du Bebe A 12 Sg 14sa




La Methode Du Bourgeon Genital Fille Ou Garcon




Sex Cœur Mouvement Du Bebe Sante Et Nutrition




Lecture Bourgeon Genital Echographie 12sa Journal Des Femmes




Fille Ou Garcon En Attendant Bebe Le Forum Des Parents



Edimark Fr



Edimark Fr




La Methode Du Bourgeon Genital Fille Ou Garcon



Echographie Comment Connaitre Le Sexe Du Bebe Fille Ou Garcon Je Vous Aide My Sweet Little Baby Et Autres Lubies




Echographie Du Premier Trimestre P Tite Bouille




Je Sors De Mon Echo




Avis Bourgeon Genital Echo 12sa




Decouvrez Le Sexe Par Conception Sexe De L Enfant Par Date De Conception Les Methodes Les Plus Precises



Pronostic Echo Fille Ou Garcon Page 121 Forum Grossesse Et Envie De Bebe



1



3




Sexe Masculin Et Feminin Aspect Macroscopique Du Tubercule Genital A 13 Sa




Determination Du Sexe Fœtal A L Echographie A Partir De 12 Sa



Docteur Vincent Pierre Echographie Obstetricale Echographie Du Premier Trimestre




12 Semaines D Amenorrhee Fille Ou Garcon Mom S Secret Garden




Sexe Bebe Premiere Echo Archives Mom S Secret Garden




Determination Du Sexe De Bebe A 100 Des 14 Semaines Echografilm Echographie 3d Paris




Garcon Ou Fille Comment Connaitre Le Sexe Du Bebe Baby Mama Stuff



Mon 1er Vrai Trimestre My Sweet Little Baby Et Autres Lubies




Sexe Masculin Et Feminin Aspect Macroscopique Du Tubercule Genital A 13 Sa
0 件のコメント:
コメントを投稿